Dame M-S Ster brak haar been: ‘En daar loopt ze nu, met haar Jehannes 484-dochter …’
Op 12 april kwam op Stal Slingerland in Elim een prachtig merrieveulen van Jehannes 484 ter wereld. Een bijzondere geboorte, want moeder Dame M-S Ster (Epke 474 X Leffert 306) is een paard dat er eigenlijk niet meer zou kunnen zijn. Anderhalf jaar geleden brak ze haar koot- en hoefbeen op zeven plaatsen, een blessure die bijna altijd het doodsvonnis betekent.
Haar fokker en eigenaresse Mary Slingerland én de merrie zelf gaven niet op. Dochter Dieke vertelt: ‘Dame is een heel fijne en goede merrie. Op de stamboekkeuring bij Age Okkema in 2020 behaalde ze het Ster-predicaat met een 2e premie; ze kwam een half puntje tekort voor een 1e premie. Ook onder het zadel was ze veelbelovend, mijn zus Jantine stuurde haar naar een halve finaleplek in de Friesian Talent Cup, die niet doorging vanwege corona.’
Op drie benen
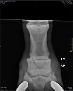
‘Op 12 januari 2021 stond Dame ineens op drie benen. We dachten dat ze in de binnenbak een klap had opgelopen van een van haar paardenvriendinnen’, gaat Dieke terug naar de fatale dag. ‘De dierenarts kon niet 123 een oorzaak vinden, en adviseerde een weekje boxrust. Maar Dame wilde absoluut niet staan op linksvoor. Dit voelde voor ons niet goed en toen besloten wij om de kliniek te bellen. Foto’s met het mobiele röntgenapparaat van de dierenarts in Klijndijk op 18 januari wezen uit dat het hoef- en kroonbeen beide op zeven plaatsen gebroken waren. Het zag er dramatisch uit; onze Dame was ten dode opgeschreven …’

Belangrijk mailtje
De familie Slingerland wilde haar niet meteen opgeven; ook omdat Dame als ze ‘gewoon’ op stal stond haar vrolijke en aanhankelijke zelf was, en dan geen tekenen van pijn vertoonde. ‘We stuurden de foto’s naar alle klinieken die we maar konden vinden; in Hannover, Den Bosch, Utrecht … niemand durfde de noodzakelijke operatie om de botjes op hun plek te krijgen, aan en ze gaven ons een overlevingskans van 10%. Na een week, op dinsdagavond, hakten we de knoop door: “Morgen bellen we de dierenarts om haar een spuitje te geven.” Diezelfde avond ontvingen we dat mailtje van dierenarts Aart Schutrups van de kliniek in Wolvega …’
Zes weken in de kliniek
‘Hij wilde Dame een kans geven, net zoals wij die haar zo graag gunden’, vervolgt Dieke haar verhaal. ‘Dame werd onder narcose gebracht om alles recht te zetten en is in het gips gezet nadat controlefoto’s hadden bevestigd dat ‘de boel’ goed aan elkaar gezet was. Zes weken lang heeft ze in Wolvega gestaan. Telkens werden er foto’s gemaakt. We hebben haar al die tijd regelmatig bezocht en elke keer was ze zo blij dat ze ons zag! Ze kwam totaal niet ongelukkig over en ging “verstandig” met haar loopgips om. Zo lag ze veel, en het lukte haar om haar geblesseerde been te ontlasten, zelfs als ze opstond. Aart liet ook weten dat hij de gok met Dame mede aandurfde omdat ze een braaf en rustig paard was.’

Dansend van de wagen
‘Toen de blessure “goed genoeg” genezen was om Dame de reis terug naar huis te laten maken, vonden we dat ongelooflijk spannend’, vertelt Dieke. ‘Reizen, dat is toch wel een risico! Gelukkig wilde een vriend van ons die een kleine vrachtwagen heeft waarbij Dame vooruit in en uit kon via een lage klep, haar vervoeren. Ze kwam dansend van de wagen, zo blij was ze toen ze weer thuiskwam!’
Laatste controlefoto’s
‘Eenmaal terug in Elim moest de merrie nog vier weken in het gips en op rust staan. Nadat Aart de laatste controlefoto’s gemaakt had, zei hij: “Nu geef ik het uit handen.” In totaal heeft hij maar liefst een half jaar lang het hele traject met Dame begeleid. Echt heel bijzonder vinden we dat, en we zijn hem er eeuwig dankbaar voor dat hij het met Dame aangedurfd heeft!’
Steeds weer spannend
Dame mocht weer gestapt worden aan de hand, op en neer op het harde, telkens een beetje langer. En aan het eind van de zomer zette ze haar eerste passen in het land. ‘Elke nieuwe fase hielden we ons hart vast; steeds weer was het spannend: hoe zou het been het houden?! Maar ze stapt, draaft, galoppeert, en doet gewoon mee met de andere paarden. Ze blijft wel voor altijd licht onregelmatig, vanwege de artrose op de plek van de breuk. Dat had Aart ook voorspeld. Maar pijn heeft ze niet, dat is duidelijk. Ze blaakt van gezondheid en levenslust.’
Jehannes 484
Vorig jaar werd besloten om Dame M-S te dekken. Dieke: ‘Age Okkema, bij wie mijn zus Jantine op dat moment werkte, en die Dame ook klaargemaakt heeft voor de keuring als driejarige, heeft altijd met ons meegeleefd. Hij herkende de kwaliteiten van de merrie. Het was ook zijn idee om haar te insemineren. “Betaal maar een keer als het veulen er is”, zei hij.’
Mooie nakomelingen
Inmiddels staat Dame M-S tevreden met haar dochter Veerle M-S in de wei. ‘Ze is de beste moeder die je je kunt voorstellen’, aldus Dieke. ‘Toen we ze zo voor het eerst samen in de wei lieten, hebben we best even een traantje weggepinkt, dat mag je wel weten … Dame zal niet meer in de sport kunnen lopen, maar wat zijn we trots op haar! Ze zal ons hopelijk nog mooie nakomelingen geven!’
Meer nieuws